癌症免疫治疗PD-1在部分患者中有可能加快病情的快速恶化
近几年癌症免疫治疗的临床应用获得了快速发展。其中免疫检查点阻断剂,如PD-1等抗体药物在免疫治疗领域也显示了突破性的疗效。然而在PD-1/PD-L1抗体治疗的癌症患者中,也观察到小部分患者群体中有癌症快速进展的现象发生。2016年末巴黎Gustave Roussy研究所的研究人员报道了131例癌症患者中有12例在接受PD-1治疗后的3个月内,其肿瘤生长速率翻了一番。这些学者将这部分患者的临床表现称之为肿瘤过快进展性疾病(Hyperprogressive disease,HPD),提示免疫检查点阻断药物也可能具有潜在的有害作用。
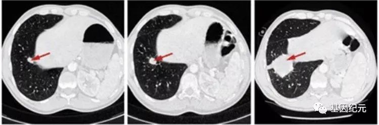
两年多的时间过去了,由于越来越多的类似临床病例的出现,使得癌症过快进展的问题受到进一步的关注。最近一期[科学]杂志发表了一篇文章,题目为:“肿瘤免疫治疗也可能有黑暗的一面”(Cancer immunotherapy may have a dark side),对这一问题专门做了评述。文章还列举了一个病例。是位65岁患有一种罕见子宫内膜癌的女性患者,在加州大学圣地亚哥分校(UCSD)肿瘤科接受治疗。患者癌症已经扩散到肝脏,显然预后非常不好,但她本人仍然感觉不错,能够胜任工作和游泳。作为最后的希望,医生给她用了PD-1免疫药物。虽然这种药物可能在其他晚期癌症患者中有奇迹般的效果。但是,当她开始用药的3周后,腹部迅速肿胀,肝脏肿瘤已经迅速增大到像柑橘一样大小(图)。医生说:“她刚刚出现了肿瘤爆发式增长,虽然无论如何她都会死去,不幸的我们可能加快了她的死亡。”

患者PD-1治疗前肿瘤体积不是很大(左图); PD-1治疗3周后肿瘤快速长大(右图)
目前,对于PD-1/PD-L1抗体治疗的癌症患者中出现的HPD流行病学,自然特性和可预测指标等尚不十分清楚。因此,也有肿瘤医生和研究人员怀疑,这种现象是否出于臆想,因为癌症快速增长可能是很自然疾病过程。任何肿瘤医生在治疗很严重的癌症时,都可能遇到患者病情急转直下很快死亡的情况。也许在PD-1使用之前,患者肿瘤的自然特性就是要注定快速生长。在马上召开的美国癌症研究协会年会上,美国FDA和国立癌症研究所(NCI)将组织的一次专家会议,专门讨论如何进一步确认HPD的有关问题,以及怎样确定哪些患者不应该接受PD-1类药物治疗的相关议题,同时科学家们也更为关注和希望了解免疫治疗中HPD发生的机理。
目前有关HPD发生机理有关的线索,主要包括一些癌基因如EGFR的突变,MDM2或MDM拷贝数量增加。也有的研究发现,在发生HPD的肺癌患者中,接受抗PD-1药物时常用异常大量特定类型的巨噬细胞聚集在肿瘤组织内,提示PD-1抑制剂可能通过巨噬细胞将肿瘤微环境切换成刺激肿瘤生长的免疫抑制状态。总之,这些初步的研究对发生HPD的机理的解释还需要更加深入的工作加以证实。
PD-1是目前肿瘤免疫治疗的热门药物,在一些晚期患者中也可以使病情明显改善,活动持久的缓解。目前,PD-1治疗的有效率在20%左右,大部分患者还没有从PD-1治疗获益。此外,HPD的发生表明PD-1背后的免疫机理还有更复杂的一面,因此PD-1的临床使用,尤其是在老年癌症患者中一定要特别谨慎,避免出现HPD的后果。



