Clinical study of P53 gene in coordination with immune cells in the treatment of cancer
Scinosen team of scientists has long collaborated with renowned gene therapy expert Toshiro Shirakawa, a professor at Kobe University in Japan. Professor Shirakawa has a high knowledge in the field of Gendicine-based tumor gene therapy, and over the years, Professor Shirakawa's team has worked closely with Sanosen scientists to continue to explore the synergistic effect and mechanism of the combination of P53 gene and immune cells in tumor treatment, especially the study of the synergistic effect and synergistic mechanism of P53 gene and DC/CIK/LAK/PD-1.
The most recent result of the close collaboration between the two teams of scientists is the discovery of the P53 gene in combination with PD-1 in the treatment of urinary tumors, Related research results: A Combination of rAd-p53 in situgene therapy and anti-PD-1 antibody immunotherapy induced anti-tumor activity "in mouse syngeneic urogenital cancer models" was co-published in the top academic journal Nature in October 2020.
P53 gene combined with DC immunotherapy:

P53-DC combined with LAK immunotherapy:

Successful clinical case results sharing:
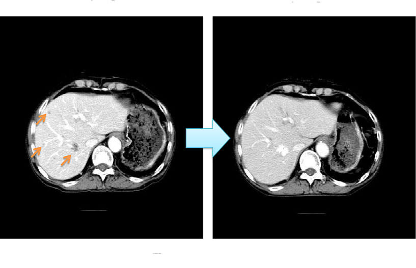
Effect of rAd-p53+ RAD-p53-DC +LAK in the treatment of liver metastasis of non-small cell lung cancer (1 course: 3 injections of immune cells)

The images clearly showed that after Gendicine combined with immune cell therapy, the three metastatic lesions of the liver
completely disappeared, and the effect was significant.
Consultation Hotline
(086)0755-33065181
Online Service
9:00-18:00